Logo des Max Delbrück Center auf einer Glasscheibe

Funktionelle Hämodynamik

Untersuchungen der funktionellen Hämodynamik in Mäusen und Ratten mittels der Leitfähigkeits-Katheter von MILLAR

Hämodynamische Messungen

Strömungsleitwert-Katheter-Technologie

Der komplexe Zusammenhang der Veränderlichkeit von ventrikulärem Herzinnendruck und ventrikulärem Volumen während des Herzzyklus wird seit mehreren Jahrzehnten genutzt, um die Herzmuskelleistung im Menschen zu bestimmen. Durch eine spezielle Messvorrichtung, den so genannten Leitwert-Katheter, ist es möglich, die Veränderungen eines elektromagnetischen Feldes aufzunehmen und zu messen. Dabei erzeugen zwei Elektroden auf dem Katheter das elektrische Feld innerhalb des Ventrikels, welches sowohl das darin befindliche Blut als auch das umliegende Gewebe durchdringt. Da Blut einen anderen Leitwert aufweist als myokardiales Gewebe, verändert sich dieses Feld unterschiedlich in Abhängigkeit vom Medium, das es durchdringt.

Durch diese Unterschiede und nach sorgfältiger Kalibrierung lässt sich so das ventrikulare Volumen über den gesamten Herzzyklus aufzeichnen.

Eine zweite Messeinheit auf dem Katheter, ein Mikromanometer, misst simultan den Herzinnendruck.

So lassen sich mit Hilfe dieser Technik in Echtzeit charakteristische Herzzyklusdiagramme von Druck und Volumen, sogenannte PV-Loops, aufzeichnen und im Anschluss auswerten.

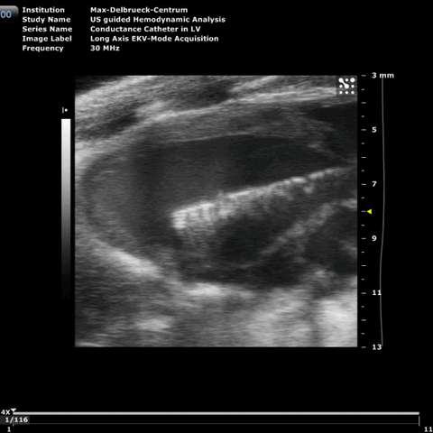
Echocardiografic image of a conductance catheter in the left ventricle of a mouse

Dank des technischen Fortschritts verfügen wir heute über Leitwert-Katheter, die klein genug sind, um in der präklinischen Forschung mit Kleintieren eingesetzt zu werden. Die Möglichkeit, Messungen intrakardial und in Echtzeit durchführen zu können, hat diese Technik zur führenden Methode bei der Bestimmung hämodynamischer Veränderungen in Tiermodellen werden lassen und die Untersuchungsmöglichkeiten in der präklinischen Forschung stark erweitert.

In der Pathophysiologie Facility nutzen wir hierfür die führenden Leitwert-Katheter- Systeme der Firma Millar Instruments.

Erweiterte Messungen der Herzfunktion

Mit diesem System lassen sich neben herkömmlichen Parametern der Herzfunktion (wie z.B. dem Maximalvolumen während des Herzzyklus) weitere entscheidende Werte ermitteln. Minimaldruck, Ejektions-Fraktion (EF) und Auswurfmenge (CO) des Herzen sind u.a. bedeutende Kenngrößen für die kardiale Funktion und können von der Pathophysiologie Facility neben weiteren ermittelt werden.

Durch die vorübergehende Modulation der Vorlast, z.b. durch Okklusions-Versuche, lassen sich Einblicke über die funktionelle Beschaffenheit des myokardialen Gewebes gewinnen.

Charakteristische Kennwerte für die Myokardfunktion, die durch derartige Experimente gewonnen werden können, sind die Druck-Volumen Verhältnisse jeweils am Ende der Systole und der Diastole (ESPVR und EDPVR), die vorlastabhängige Schlagarbeit des Herzen (PRSW) sowie der Zeitpunkt des maximalen Druckanstiegs (dP/​dtmax) in Bezug auf das enddiastolische Volumen (EDV). Die hierfür zu Grunde liegenden Messungen des Volumens und des Drucks werden in PV-Loops zusammengefasst, um eine schnelle und repräsentative Gegenüberstellung verschiedener Phänotypen und eine Beurteilung der Herzfunktion zu ermöglichen.

Messbare Parameter in der Hämodynamik

Parameter Beschreibung Einheit
Pmax/​min maximaler/​minimaler gemessener Druck mmHg
Pes/​ed Endsystolischer/-diastolischer Druck mmHg
dP/dtmax Schnellster Druckanstieg mmHg/​s
dP/dtmin Schnellster Druckabfalls mmHg/​s
Vmax/​min maximales/​minimales Volumen µl
Ves/​ed Endsystolisches/-diastolisches Volumen µl
dV/dtmax Schnellster Volumenanstieg µl/​s
V/dtmin Schnellster Volumenabfall µl/​s
HR Herzrate bpm
SV Schlagvolumen µl
CO Herzminutenvolumen ml/​min
CI Kardialer Index (CO/​Körpergewicht) ml*g/min
EF Auswurffraktion %
SW Herzleistung mmHg*µl
PRSW Vorlastabhängige Herzleistung mmHg
ESPVR Endsystolisches Druck-Volumen-Verhältnis
EDPVR Enddiastolisches Druck-Volumen-Verhältnis
Ea Arterielle Elastizität mmHg/​µl
Tau ( τ ) Zeitkonstante der aktiven Relaxation ms

Anfragen & Anmeldung

Um die Nutzung unserer Leistungen der in vivo Phänotypisierung anzumelden, verwenden Sie bitte dieses Anmeldeformular.

 

 

Aufträge für die in vitro Blutanalyse können über dieses Formular beantragt werden.

Bei weiteren Fragen kontaktieren Sie uns gern!