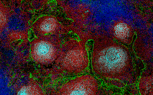
Chaos in lymph nodes promotes cancer
In aggressive lymphomas, inflammatory messengers reprogram the “conductors” of the immune system, causing lymph node structure to collapse. A team led by Simon Haas describes in “Nature Cancer” this process for the first time using single-cell and spatial analyses.