Muskelabbau stoppen! Die molekularen Ursachen für Muskelabbau bei Herzinsuffizienz

Die Forscher des Experimental and Clinical Research Center in Berlin und ihre Partner vom University of Texas Southwestern Medical Center in Dallas haben neue Informationen zu den molekularen Ursachen für den Muskelabbau bei Patienten mit Herzinsuffizienz veröffentlicht.
Ein gesundes Herz… Abb.: J. Fielitz/​MDC

Muskelabbau tritt bei Patienten mit Stauungsinsuffizienz im fortgeschrittenen Stadium häufig auf und ist mit einer schlechten Prognose assoziiert“, erklärt der klinische Forscher Dr. Jens Fielitz, unter dessen Leitung die Studie stand. Wir können eine Behandlung bieten, die die Prognose für Patienten mit Herzinsuffizienz verbessert, doch in fortgeschrittenen Stadien der Erkrankung verlieren die Patienten stark an Gewicht, wodurch ihr Zustand sich weiter verschlechtert.“

Der Gewichtsverlust ist zum größten Teil auf den Abbau von Muskelmasse zurückzuführen, der eintritt, wenn bei Patienten eine hohe Angiotensin-II-Konzentration im Blut vorliegt. Bei hohen Angiotensin-II-Werten wird das Enzym mit dem Namen Muscle RING Finger 1 (MuRF1) aktiviert und markiert Muskelproteine für den Abbau durch das Ubiquitin-Proteasom-System – eine zelluläre Häckselmaschine, die den Proteinabbau und Proteinumsatz reguliert.

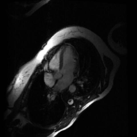
… und ein krankes Herz, das vergrößert ist. Abb.: J. Fielitz/​MDC

Zur Behandlung von Herzinsuffizienz verschreiben Ärzte Medikamente, die das Renin-Angiotensin-Aldosteron-System hemmen, zum Beispiel Hemmer des Angiotensin-konvertierenden Enzyms (ACE-Hemmer) und Angiotensin-II-Rezeptorblocker. Als positive Nebenwirkung verhindern diese Präparate auch einen Abbau von Muskelproteinen. Diese Medikamente sind Teil der Standardtherapie bei Herzinsuffizienz“, erklärt Fielitz. Beide Medikamente reduzieren den Muskelabbau, allerdings nur für 5 – 10 Jahre, danach verlieren sie ihre Wirkung.“

Für die Entwicklung neuer Therapien zur Vermeidung von Muskelabbau ist es wichtig, die molekularen Verbindungen zwischen Angiotensin II und MuRF1 zu verstehen. Fielitz und sein Team hatten es sich zum Ziel gesetzt, den Signalweg im Detail zu untersuchen.

Bei bestehender Muskelatrophie sind die MuRF1-Konzentrationen 40 – 60 Mal höher als normal. Die Folgen sind ein Abbau der Muskelproteine, ein Verlust der Muskelmasse und Schwäche. Die Forscher suchten nach Transkriptionsfaktoren, die für die hohen MuRF1-Konzentrationen, die hinter dem Muskelabbau bei Patienten mit Herzinsuffizienz stehen, verantwortlich sein könnten. Einige Transkriptionsfaktoren, die die MuRF1-Expression kontrollieren, waren bekannt. Doch deren Aktivität war zu gering, um die Ursache für einen so starken Anstieg der MuRF1-Konzentrationen zu sein, der bei Muskelatrophie zu beobachten ist“, erklärt Fielitz.

Auf der Suche nach Regulatoren für MuRF1 durchforsteten die Wissenschaftler eine genomische Bibliothek der in Muskelzellen exprimierten Gene. Sie verwendeten die fluoreszierende Reportergen-Luciferase hinter dem MuRF1-Promoter. So erhielten sie einen fluoreszierenden Indikator dafür, welche Gene die Transkriptionsfaktoren verschlüsseln, die MuRF1 aktivieren.

Ein Gen trat besonders hervor – der Transkriptionsfaktor EB (TFEB). Dabei handelte es sich um einen starken Aktivator des MuRF1-Promoters, der die MuRF1-Konzentrationen um das 70-Fache bis 100-Fache erhöhen konnte. Dieses Ergebnis war vor dem Hintergrund der Suche nach einem Transkriptionsfaktor, der einen starken Anstieg von MuRF1 bei Herzinsuffizienz verursachen und einen Muskelabbau induzieren kann, stimmig.

Weitere Experimente bestätigten, dass TFEB die MuRF1-Expression in Muskelzellen regulieren kann. Die Forscher stellten fest, dass die Behandlung von Zellen mit Angiotensin II die Bindung von TFEB an den MuRF1-Promoter erhöhte. So wurde nachgewiesen, dass der Angiotensin-II-Signalweg, der als Ursache für Muskelabbau bei Herzinsuffizienz bekannt ist, die TFEB-Aktivität reguliert.

Im nächsten Schritt suchten Fielitz und sein Team nach Verbindungen zwischen Angiotensin II und TFEB. Sie fanden heraus, dass zwei Proteine in diesem Signalweg wichtig sind – die Histon-Deacetylase HDAC5 und die Proteinkinase PKD1.

HDAC5 wirkt als Bremse beim Abbau von Muskelproteinen. Dies geschieht, indem TFEB durch HDAC5 gebunden wird, sodass TFEB die MuRF1-Expression nicht aktivieren kann. Damit die Bremswirkung von HDAC5 möglich ist, muss es sich im Zellkern befinden, wo es TFEB binden kann. PKD1 löst die Bremse durch Phosphorylierung von HDAC5, das dann von PKD1 aus dem Zellkern entfernt wird, sodass TFEB im Zellkern ungebremst die MuRF1-Bildung hochregulieren kann.

Die Forscher hatten den Verdacht, dass Angiotensin II den Muskelabbau durch die Aktivierung von PKD1 auslöst, darum testeten sie diese Theorie in einem Mausmodell. Sie verwendeten Mäuse mit einem konditionalen Knockout für PKD1 in ihren Muskelzellen, um festzustellen, wie ihre Muskeln auf Angiotensin II reagieren.

Bei den Angiotensin-II-Studien wurden zwei Gruppen von Mäusen eingesetzt – Mäuse ohne PKD1 in den Muskeln und Kontrollmäuse. Bei den Kontrollmäusen kam es als Reaktion auf die Angiotensin-II-Behandlung zu einem Muskelabbau und die Tests zeigten, dass sie erhöhte MuRF1-Konzentrationen aufwiesen und TFEB an den MuRF1-Promoter gebunden war. Die Mäuse ohne PKD1 in den Muskelzellen hingegen waren vor den Folgen des Angiotensin II geschützt. Ohne PKD1 zur Lösung der Bremsen für die MuRF1-Expression zeigte die Behandlung keine Auswirkungen auf ihre Muskeln.

Die von Fielitz und seinem Team durchgeführten Studien deckten die molekularen Einzelheiten des Signalwegs zwischen Angiotensin II und MuRF1-induziertem Muskelabbau auf. Dieses Wissen bietet mögliche neue Ziele für die Forschung nach Arzneimitteln, die den Muskelabbau bei Herzinsuffizienz verhindern sollen.

Wir hoffen, dass die Kenntnis dieses Signalwegs und der potenziellen molekularen Zielstrukturen innerhalb dieses Signalwegs zu neuen Therapien für die Vermeidung des Muskelabbaus bei Patienten mit fortgeschrittener Stauungsinsuffizienz führt“, so Fielitz.

Highlight Referenz:

Du Bois P., Pablo Tortola C., Lodka D., Kny M., Schmidt F., Song K., Schmidt S., Bassel-Duby R., Olson E.N., Fielitz J. (2015). Angiotensin II Induces Skeletal Muscle Atrophy by Activating TFEB-Mediated MuRF1 Expression. Circulation Research 117: 424 – 436 (August 2015). DOI: 10.1161/CIRCRESAHA.114.305393