Mutationen lösen schwere Herzmuskelerkrankung aus

Mutationen in drei Genen, die für das Zusammenziehen des Herzens wichtig sind, können eine spezielle Form der Herzmuskelerkrankung, die Linksventrikuläre Noncompaction (LVNC), auslösen. Das haben jetzt Dr. Sabine Klaassen, Susanne Probst und Prof. Ludwig Thierfelder vom Max-Delbrück-Centrum für Molekulare Medizin (MDC) Berlin-Buch, Prof. Erwin Oechslin (Adult Congenital Cardiac Centre, Toronto, Canada) und Prof. Rolf Jenni (Cardiovascular Center, Zürich, Schweiz) herausgefunden.

Bei dieser Erkrankung ist das Muskelgewebe der linken Herzkammer schwammartig verändert und ragt in die Herzkammer hinein. Das kann die Pumpleistung des Herzens stark beeinträchtigen. Unter 63 Patienten, die an LVNC leiden, fanden die Wissenschaftler elf Patienten (17 Prozent), bei denen einzelne dieser Herzmuskelgene mutiert sind. Die Forscher vermuten, dass diese genetischen Veränderungen die schwere Herzerkrankung auslösen. In Zukunft können Gentests Aufschluss darüber geben, ob Familienmitglieder von Betroffenen die Mutationen ebenfalls tragen und somit an LVNC erkranken können. Die Ergebnisse der Studie sind jetzt in der Fachzeitschrift Circulation (2008, Vol. 117, pp. 2893 – 2901)* erschienen.

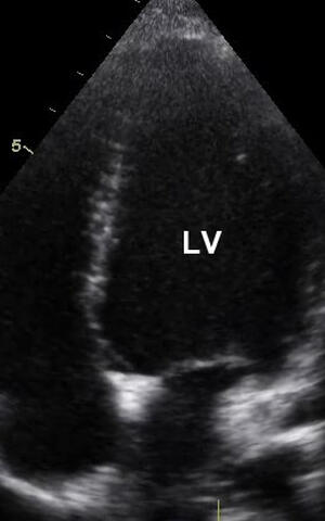
Beim gesunden Herz sind die linke (rechts oben – linker Ventrikel, LV) und die rechte Herzkammer (links oben) sowie ihre Vorhöfe von kompaktem Muskelgewebe umgeben. (Aufnahme: Sabine Klaassen/​Copyright: MDC)

Der Herzmuskel lässt das Herz 70-mal in der Minute schlagen und versorgt auf diese Weise den gesamten Körper mit Sauerstoff und Nährstoffen. Erkrankt der Herzmuskel, können Herzrhythmusstörungen und Herzschwäche (Herzinsuffizienz) bis hin zu Herzversagen die Folge sein.

Bei der erst vor wenigen Jahren entdeckten Erkrankung LVNC ähnelt die linke Herzkammer der eines Embryo. Da die Erkrankung zudem schon bei Kleinkindern auftreten kann, nahmen Wissenschaftler an, dass es sich um eine Entwicklungsstörung des Herzmuskelgewebes handelt. Dr. Klaassen und ihre Kollegen konnten jedoch zeigen, dass die Krankheit genetisch bedingt und somit ein Erbleiden ist. Sie betrifft Gene, deren Proteine für das Zusammenziehen und damit für die Pumpfunktion des Herzmuskels verantwortlich sind: die schwere Kette des Beta-Myosins, kardiales Aktin und Troponin T.

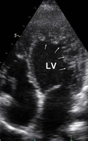
Erkrankt ein Mensch an LVNC, so ragt schwammartiges Muskelgewebe in die linke Herzkammer (rechts oben mit Pfeilen markiert) und beeinträchtigt die Pumpleistung des Herzens. (Aufnahme: Sabine Klaassen/​Copyright: MDC)

Die Wahrscheinlichkeit, dass betroffene Elternteile die Genmutationen an ihre Kinder weitergeben, liegt bei 50 Prozent. Das ergaben Untersuchungen einzelner Familien. Gentests sind in diesen Familien deshalb sehr wichtig“, empfiehlt Dr. Klaassen. Denn fällt solch ein Gentest negativ aus, kann der Untersuchte sicher sein, nicht an LVNC zu erkranken. Fällt er jedoch positiv aus, ist die Aussage hingegen nicht so eindeutig. Der Betroffene kann aufgrund des veränderten Herzmuskelgewebes eine Herzschwäche ausbilden“, so Dr. Klaassen. Eine Mutation in diesen Genen muss aber nicht zwangsläufig zu Herzmuskelschwäche führen. So untersuchten wir eine Patientin, die auch mit 70 Jahren keine Krankheitssymptome zeigt, obwohl sie die Mutation aufweist“, berichtet die Kardiologin. Offenbar beeinflussen andere genetische Faktoren, aber auch Umwelteinflüsse, wie zum Beispiel eine gesunde Lebensweise, die Ausprägung der Erkrankung.“

*Mutations in Sarcomere Protein Genes in Left Ventricular Noncompaction

Sabine Klaassen, MD1,2*; Susanne Probst, MSc1*; Erwin Oechslin, MD3; Brenda Gerull, MD1, Gregor Krings, MD2; Pia Schuler, MD4; Matthias Greutmann, MD4; David Hürlimann, MD4; Mustafa Yegitbasi5, MD; Lucia Pons, MD6, Michael Gramlich, MD1; Jörg-Detlef Drenckhahn, MD1; Arnd Heuser, MD1, Felix Berger, MD2,5; Rolf Jenni, MD4; Ludwig Thierfelder, MD1,7

1)Max-Delbrück-Center for Molecular Medicine, Berlin, Germany; 2)Clinic of Pediatric Cardiology, Charité, Humboldt Unversity Berlin, Germany; 3)Adult Congenital Cardiac Centre at Peter Munk Cardiac Centre, University Health Network/​Toronto General Hospital, Toronto, Canada; 4)Cardiovascular Center, Division of Echocardiography, University Hospital Zürich, Zürich, Switzerland; 5)Department of Congenital Heart Defects/​Pediatric Cardiology, German Heart Institute Berlin, Berlin, Germany; 6)Ospedale Regionale di Mendrisio Beata Vergine, Mendrisio, Switzerland; 7)Helios Clinic Berlin-Buch, Charité,
Humboldt University Berlin, Germany

Barbara Bachtler

Pressestelle

Max-Delbrück-Centrum für Molekulare Medizin (MDC) Berlin-Buch

Robert-Rössle-Straße 10

13125 Berlin
Tel.: +49 (0) 30 94 06 — 38 96

Fax: +49 (0) 30 94 06 — 38 33
e‑mail: presse@​mdc-​berlin.​de

http://​www​.mdc​-berlin​.de/​d​e​/news
 

Weitere Informationen